こんにちは!
大東市の住道駅から徒歩7分 大東中央病院の目の前にあるT.S.NAKAMURA接骨院です!
スポーツをしている最中だけでなく、日常生活でも「捻挫」をするケースがあります。
捻挫は誰にでも起こりうる怪我の1つですが、その捻挫は本当にただの「捻挫」なのでしょうか?
症例:大東市御供田在住10代女性
来院前日にバスケットボールの練習をしていて、ジャンプをして着地をした際に右足を捻り受傷されました。捻った時に右の足首がゴキゴキっとなったそうです。
捻った直後は足がつくことが出来ず、夜にアイシングをして過ごされていましたが、一晩経っても痛みがあったので、知人の紹介で来院されました。

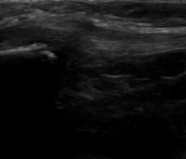
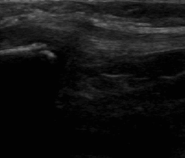
痛みは上の写真の右足外くるぶしのやや下あたりが痛いとのことでした。
腫れはそこまで出ていなかったので、骨折か捻挫の判断をするためにエコー検査を行いました。

エコー検査では、右腓骨遠位端部に裂離骨折像が確認できたため、ギプス処置を施しました。ギプス固定でも、固定中に超音波骨折治療器(LIPUS)を行うために有窓ギプスにしました。LIPUSは週4〜5回照射(20分)行うことによって骨癒合期間が40%短縮されると報告されています。
※ギプス処置後に連携している整形外科に紹介となりました。
通常、腓骨遠位端骨折は完治まで3ヶ月かかるものが一般的ですが、最適な固定と施術、リハビリができると早期復帰が可能となります。
このように、スポーツ中などに骨折をしてしまって、手術をせずに早期復帰を望まれる方は当院にお問い合わせください。最適な施術法をご提案できたらと思います。単なる捻挫かと思いきや骨折をしている場合もありますので、どんなに軽い捻挫でも一度エコー検査を行うことをお勧めします。
大東市の住道駅南口から徒歩7分・近鉄バス住道駅筋バス停より徒歩1分の扇町にあるT.S.NAKAMURA接骨院にご相談ください。