
症状怪我が治ったはずなのに腫れと痛みが引かない
複合性局所疼痛症候群(以下、CRPS)の臨床症状は、疼痛や腫脹、運動障害、自律神経症状や皮膚萎縮などであり、CRPS患者の心理・社会的な問題や性格特性は、CRPSの原因ではなく結果とされます。

CRPSは原因から予想される程度や範囲を超えた激しい症状が特徴のため、医療過誤と疑われ、裁判に至ることもあるので、CRPSの診断(判断)は重要です。
世界疼痛学会のCRPS診断基準は、外傷や不動化の既往と原因から想像できない疼痛、浮腫、皮膚血流変化などからなり、感度100%、特異度41%で、早期診断には有用ですが、鑑別診断が困難です。
CRPSの診断基準は以下のようになります。

CRPSは、関節可動域制限や単純X線写真の骨萎縮像、皮膚温度変化(1℃以上)、発汗変化などの他覚的所見を組み込み、感度99%、特異度68%の新しい診断基準が報告されました。
他覚的所見として、単純X線写真の骨萎縮所見や三相骨シンチグラフィーは有用であるとされています。そのほか、発汗量や定量的発汗軸索反射テストなどの血管運動障害所見や、2℃以上の皮膚温度変化も挙げられていますが統一されていません。
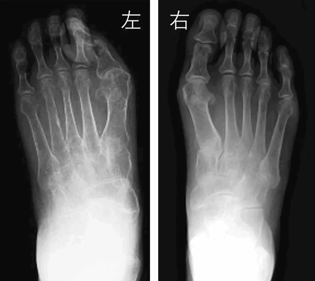
次の単純X線写真は、左が患側になります。右の正常な骨と比べて、左の骨が薄く見えると思います。このように骨が薄くなることを骨萎縮像(骨透亮像)といいます。

原因と病態怪我によって神経伝達の歯車が狂う
CRPSは、外傷や手術後に四肢の激しい痛みや腫れを生じます。CRPSの原因はいまだ不明で、誘因から予想される程度や範囲を越えた症状を示すため、早期診断と集学的治療が必要となります。
CRPSは人口10万人あたり年間5.46〜26.2人に発症し、男性より女性のほうが3.4倍多いと報告されています。CRPSの原因は、骨折や捻挫、手術後に多発すると言われています。
CRPSの判定基準は次のようになります。

CRPSの発生メカニズムは次のように表されます。

正常な感覚の状態では、皮膚からの感覚は知覚神経を経由して、後根神経節というターミナルを経て脊髄後角に至ります。交感神経は安定した発汗や血流など、皮膚の状態をうまくコントロールしています。
CRPSを患った際には、次のようになってしまします。

怪我(外傷)によって損傷された神経は、神経伝達の歯車が狂い始めます。
①交感神経では、新たに神経内で繊維が発芽し、後根神経節へ影響を及ぼす。
②後根神経節で混乱が生じ、本来存在しないαアドレナリン受容体が活性化する。
③αアドレナリン受容体は知覚神経に作用し、本来大したことのない痛みの情報を怪我をしたかのような刺激(情報)を脊髄へ送ってしまい、過敏な感覚がどんどん中枢神経へと送り込まれる。
④脊髄後角では、触覚を司る神経が芽を伸ばす。
⑤芽を伸ばした先の侵入したエリアで、違う神経とも連絡を取るようになる。
以上のような現象が起こることによって、皮膚に触っただけという刺激なのに、「痛み」として大きく増幅されて、中枢神経へ送られてしまいます。
以上のようなメカニズムでCRPSが発生するのではないかと考えられています。
また、どうしてCRPSは痛みが繰り返し発生したり、持続するのか。その理由を図示したのが次の図です。

怪我などで身体に侵害刺激が発生すると、知覚神経が興奮して脊髄を介して脳に信号が送られます。それと同時に、痛み刺激が運動神経や交感神経を興奮させ、局所の筋肉の緊張や血流障害が起こります。それが組織の酸素を少なくし、さらに発痛物質が作られます。また知覚神経を繰り返し刺激することによって痛みの悪循環が起こります。こういうプロセスが痛みが続く理由であるといわれています。
治療と予防外的刺激を与えながら運動療法を行う
CRPSのリハビリは、第1に疼痛を減少させます。次いで関節可動域制限の改善や運動麻痺による機能障害の軽減を行なっていきます。
当院では経皮的電気刺激(低周波治療)、微弱電流治療、ミラー療法、温冷交代浴、浮腫治療、認知運動療法などを行い、その日の症状に応じて施術内容を変えていきます。
ご自宅では「温冷交代浴」を徹底して行って頂きます。そうすると皮膚の赤みがだんだんと取れてきて、次第に痛みも軽減してきます。
このようにT.S.NAKAMURA接骨院では、外傷(ケガ)に特化した施術のみならず、原因のわからない症状の場合も、症状を特定して施術の提供が可能です。
また日常生活やお仕事での痛み、スポーツによる怪我の施術も得意としています。
その患者さんに適した施術方法・電気治療を組み合わせて最適な施術を提供致します。
痛みの改善、柔軟性の向上、血流循環の改善など期待できる施術を行い、早期回復のお役に立てればと考えております。
大東市の住道駅南口から徒歩7分・近鉄バス住道駅筋バス停より徒歩1分の扇町にあるT.S.NAKAMURA接骨院にご相談ください。