
症状内くるぶしの下が突出して触れると痛い
発症すると足のうちくるぶしの下辺りに硬い隆起物が触れるようになり、そこを押さえると激痛が走ります。
全体重のかかる足には、スポーツや歩行などでいろいろな部位に痛みが生じます。
陸上競技やサッカー、バスケットボールなどのランニングやジャンプ動作の多いスポーツにおいて、慢性障害が多く発生します。
痛みの発生機序は様々ですが、
①外脛骨部分の隆起部が靴やボールなどに当たって痛みが生じる炎症性滑液包炎(水ぶくれのようなもの)
②扁平足を合併し、後脛骨筋の筋力低下による後足部のoverpronation(踵周辺の関節が過剰に動きすぎている状態)に伴って生じる外脛骨周囲全体の痛み
③慢性的な後脛骨筋腱炎
④外傷をきっかけに後脛骨筋腱を介して生じた牽引力、剪断力、圧迫力などによって線維軟骨結合が損傷されて生じた痛み
⑤足関節不安定症を合併していることにより内返し損傷よって脛骨内果と衝突を繰り返すことによって生じる痛み
などが考えられています。


原因と病態後脛骨筋による外脛骨部への牽引作用
スポーツ活動の盛んな10〜15歳の思春期に発症することが多い足部の障害です。
運動を繰り返しているうちに徐々に痛みが強くなることが多いですが、捻挫などの外傷がきっかけとなって発症することもあります。
外脛骨は足部過剰骨の中で最も頻度が高く、後脛骨筋腱がくっついている舟状骨の内側後方にみられます。女性に多く80〜90%は両側性です。
足は足根骨と中足骨が靭帯で結ばれ、縦横のアーチを形成し、筋肉や腱がこれらを補強しています。 スポーツをすることによって足に衝撃が続くと、骨や軟骨、靭帯や腱に障害をきたし痛みが発生します。

足の使い過ぎ以外に、足の柔軟性低下や筋力不足、扁平足などの障害の発生しやすい足の形、不適切な靴、悪い路面での練習などが発症の背景になっています。
外脛骨は比較的よく目にする副骨の1つで、それ自体は必ずしも病的な存在ではなく、正常足の約10~21%に存在するといわれています。しかし、扁平足が合併していたり急激な運動負荷あるいは外傷などをきっかけとして痛みが出現し、症候性に移行することが多いとされています。
外脛骨の分類には、Veitch(バイチ)分類により評価されます。

TypeⅠ:舟状骨本体とは連続性を持たず円形もしくは楕円形を呈す。(基本的に症候性にならない)
TypeⅡ:舟状骨の明確な一部分ですが、舟状骨結節は幅2mm未満の不規則な輪郭の線維軟骨部によって分離される。
TypeⅢ:外脛骨が骨性癒合し、舟状骨の内側の大きな隆起となっているもの。

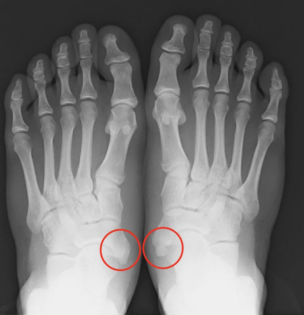
レントゲン写真ではこのように映ります(左:TypeⅢ 右:TypeⅡ)。
治療と予防足底板療法が一番有効
治療としては、スポーツで一旦障害が発症したら練習量を減らすか、一定期間の休養が一般的です。
これに加えてアイシングを行い炎症を抑え、電気治療を行い痛みを軽減させます。また足底板療法を行い、足の崩れを予防します。足底板療法を用いていろんなパーツを組み合わせることによって荷重応力の分散を図ることができ、後脛骨筋の筋活動が減少して痛みを軽減させることが期待できます。


予防としては、発生要因をよく考え、その要因を取り除くことが大切です。15〜17歳の骨の成長が停止する頃には自然治癒することが多いので、基本的にはリハビリで様子をみます。
運動療法では、後脛骨筋の筋力訓練を中心とした足関節周囲の筋力訓練を行います。扁平足を伴う方や罹病期間が長い方の筋力低下は明らかですので、ホームエクササイズを徹底させることと、長期にリハビリテーションが必要です。痛みが強い方は、安静や練習量の調節により疼痛軽減を図ってから運動療法に移行します。
後脛骨筋のストレッチ、足部内在筋の筋力訓練、マッサージによる下腿の筋肉のケアや電気治療などを併用した治療が有用性が認められます。また足にフィットしたシューズの選択も大事な習慣付けとなりますので、今一度確認が必要です。
小学校高学年から中学生のお子さんで、足のうちくるぶしの下あたりの痛みがあれば、大東市住道にある当院へ一度ご来院ください。